Cancer Types A-Z

Explore comprehensive information about different types of cancer,
including causes, symptoms, diagnosis, and treatment options.

Generic selectors
Exact matches only
Search in title
Search in content
Post Type Selectors

Overview

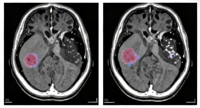
ZFTA fusion–associated tumors are rare primary central nervous system (CNS) neoplasms characterized by gene fusions involving the ZFTA (formerly C11orf95) gene. These fusions most commonly occur with RELA or other partner genes and are often found in supratentorial ependymomas, particularly in children and young adults. The ZFTA fusion drives abnormal gene expression, promoting tumor development. These tumors can vary in aggressiveness but are generally considered high-grade (Grade III or IV).

Symptoms

  • Headaches (often due to increased intracranial pressure)
  • Seizures
  • Weakness or paralysis (hemiparesis)
  • Nausea and vomiting
  • Vision or speech disturbances
  • Cognitive or behavioral changes

Causes & Risk Factors

  • Caused by ZFTA gene fusion (most commonly ZFTA–RELA)
  • Typically sporadic (not inherited)
  • No established environmental risk factors
  • Occurs more frequently in children and young adults

Diagnosis

  • MRI brain with contrast (to identify supratentorial mass)
  • Histopathological analysis of tumor tissue
  • Molecular testing (e.g., FISH, RT-PCR, or next-generation sequencing) to confirm ZFTA fusion
  • Neurological exam to assess functional deficits

Treatment Options

  • Maximal safe surgical resection (first-line treatment)
  • Radiation therapy, especially when complete removal is not possible
  • Chemotherapy, mainly in children or recurrent cases
  • Clinical trials exploring targeted therapies and molecular inhibitors

Prognosis

  • Generally poor to intermediate prognosis, depending on extent of resection and molecular features
  • ZFTA–RELA fusion tumors tend to behave more aggressively than other ependymoma types
  • Recurrence is common, requiring close long-term follow-up

Living with this Cancer Type

  • Neurological rehabilitation for motor or cognitive deficits
  • Psychological and social support for patients and families
  • Regular MRI surveillance to monitor for recurrence
  • Multidisciplinary care involving neurosurgery, oncology, and rehabilitation teams

Prevention & Screening

  • No known preventive measures
  • Early neuroimaging for persistent neurological symptoms
  • Genetic testing of tumor tissue, not for population screening

FAQs

Q: What does “ZFTA fusion–associated” mean?
A: It refers to tumors driven by a genetic fusion involving the ZFTA gene, which alters cell growth control.

Q: Is it a type of ependymoma?
A: Yes, most ZFTA fusion–associated tumors fall under supratentorial ependymomas in classification systems.

Q: Can these tumors spread outside the brain?
A: Rarely. They usually remain within the CNS but may recur locally.

Q: Are there targeted treatments?
A: None are yet approved, but clinical trials are ongoing to explore targeted molecular therapies.

Resources

  • World Health Organization (WHO) Classification of CNS Tumors
  • National Brain Tumor Society
  • American Brain Tumor Association (ABTA)
  • gov (search “ZFTA fusion ependymoma”)
Understand Precision Testing

Learn how liquid biopsy and chemo sensitivity testing can personalize your treatment plan.

Make Informed Decisions

Gain knowledge to actively participate in treatment discussions with your healthcare team.

Improve Treatment Outcomes

Discover how precision medicine and metabolic therapies can enhance treatment effectiveness.

Start Your Educational Journey Today

Empower yourself with knowledge about precision metabolic oncology and take an active role in your cancer care journey.

Need More Information?

Our team of oncology experts is here to help you understand your diagnosis and treatment options.